
Shape the future of orthodontics with Smartee
Join a global network of forward-thinking clinicians who leverage AI-powered planning, digital workflows, and cutting-edge aligner technology.
1
Smartee α, GS and Teen
A complete range of aligners designed to treat simple and complex cases with precision, versatility and age-specific comfort.
2
3D AI Software
Advanced planning software powered by artificial intelligence that delivers accurate simulations, faster workflows, and highly predictable treatment outcomes.
3
Scanner compatibility
Fully compatible with leading intraoral scanners, ensuring seamless integration and smooth case submission from any digital workflow.
4
Digital ecosystem
An integrated platform that connects scanning, planning, treatment, and follow-up in a continuous and efficient workflow.

Smartee solutions for every smile and every stage
Smartee GS is designed for precision orthodontic cases, offering advanced aligner technology to deliver reliable and predictable results. It is ideal for adults seeking high-precision smile correction.
Key Points:
-
Optimized for complex tooth movements
-
Enhanced 3D control and treatment accuracy
-
Superior comfort with durable aligner materials
Smartee GE offers an effective and efficient clear aligner treatment for everyday orthodontic needs. It combines comfort, speed, and quality results for a wide range of cases.
Key Points:
-
Ideal for mild to moderate alignments
-
Faster treatment planning and delivery
-
Excellent balance between affordability and performance
Smartee Alpha is the flagship system, designed for advanced biomechanics and detailed smile design. It offers superior fit, clarity, and control for highly aesthetic transformations.
Key Points:
-
Ultra-clear aligners with exceptional comfort
-
Precision movement for refined smile results
-
Ideal for adults seeking a premium aesthetic treatment
Smartee Kinder is specifically designed for young children and supports early orthodontic development with safe, gentle aligner technology—ideal for growing smiles.
Key Points:
-
Soft, child-friendly materials and fit
-
Encourages early correction of developmental issues
-
Designed for comfort and easy daily use
Smartee Teen offers a flexible and durable aligner system for teenagers with active lifestyles. It adapts to growth and movement, ensuring effective treatment.
Key Points:
-
Designed for durability and the daily activity of teens
-
Options to monitor wear time
-
Supports ongoing dental growth and development
The technology that changes everything. Smartee can revolutionize every smile.
An innovation framework drives Smartee GE, α, GS, Kinder and Teen through the same AI workflow and global expertise, supporting improved consistency, accuracy, and results.
1M+
1,900,000+
Perfect smiles
74,500,000+
Aligners
900+
Patents
83,000+
Doctors
Discover outstanding results
Case Introduction
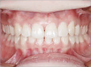
A 20-year-old woman presented with dental misalignment, crowding of the maxillary anterior teeth, a deep closed bite of the anterior teeth, moderate crowding of the upper and lower teeth, and general facial profile concerns. Smartee invisible orthodontic treatment was applied to distalize the maxillary molars, relieve crowding, align the lower teeth, and correct a deep overbite.
List of problems
Straight face
Deep, closed bite of the front teeth
Moderate crowding of the upper and lower teeth
Facial asymmetry: chin deviated to the right, lower midline deviated to the right
Class II canine and molar relationship on both sides
Diagnosis
Dental pattern: Angle Class II Division 2
Treatment method
Smartee Invisible Orthodontic Treatment

Before

After
Case Introduction
A 28-year-old woman presented with a protruding maxillary anterior teeth. She had undergone orthodontic treatment 14 years prior, which included the extraction of two maxillary premolars. Currently, her maxillary teeth are crowded and protruding, with a pronounced overbite and overjet. She underwent Smartee clear aligner treatment to distalize the maxillary molars, extract mandibular tooth 31, align the upper and lower teeth, and alleviate the overbite and overjet of the anterior teeth, with the aim of improving her facial profile.
List of problems
Incompetent lips, convex profile, and leftward deviation of mental points
Horizontal and vertical overbite
Upper and lower dental crowding
Rightward deviation of the upper midline
Asymmetrical condyles
Diagnosis
Dental pattern: Angle Class II
Treatment method
Smartee Invisible Orthodontic Treatment

Before

After


Trusted by doctors, proven in practice
Smartee's digital workflow has transformed the way I plan treatments. The accuracy and predictability are exceptional.

Dr. Maria Lopez — Orthodontic
The aligners fit perfectly, and patients love the comfort. I've seen increasingly rapid treatment approval.

Dr. Daniel Richter — Cosmetic Dentist
The support team and training resources make integrating Smartee into a busy practice easy. Highly recommended!

Dr. Aisha Rahman — General Dentist
Their 3D planning tools give me complete control. Case outcomes have improved significantly since the change.

Dr. Fernando Alvarez — Orthodontic Specialist
Community and training
Smartee Academy
Enhance your clinical knowledge with structured training modules, digital orthodontics courses, and expert-led sessions designed to help you master Smartee aligner protocols and improve treatment outcomes.
Costa Rica Study Club
Join a community of passionate dental professionals to share cases, participate in live reviews, and engage in collaborative learning. Study Club Costa Rica connects you with colleagues to exchange ideas and stay up-to-date on best practices.
Workshops with DentSol
Gain hands-on experience with practical workshops led by DentSol. Learn directly from experts, improve your treatment planning, and explore advanced digital workflows to enhance your aligner experience.

Grow your practice with Smartee's advanced clinical and business support.
Smartee gives clinicians a significant advantage with a fully digital workflow, highly accurate treatment planning, and tools that set your practice apart from the competition. From marketing support to boost patient awareness to expert local assistance through DentSol, you get everything you need to achieve exceptional results and build a stronger, future-proof practice.
Benefits for the practice

Competitive advantage

Digital workflow

Marketing support


